12-02-2014, 08:07 AM
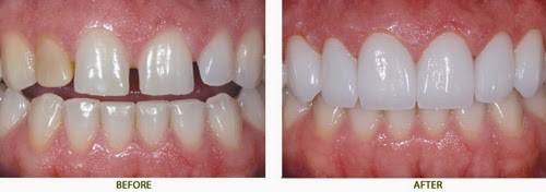
Hiện nay có rất nhiều người muốn điều trị phương pháp bọc răng sứ để có thể lấy lại vẽ đẹp cho hàm răng của mình. Nhưng có rất nhiều câu hỏi được đặt ra cho phương pháp điều trị này. Trong đó câu hỏi quá trình bọc răng sứ thẩm mỹ như thế nào? Được nhiều người đặt ra. Dưới đây tôi sẽ giúp bạn giải đáp điều này.
Khám răng
Bác sĩ cần kiểm tra thật kỹ tình trạng sứ khỏe răng miệng và vùng nướu của bạn, để bảo đảm tình trạng sức khỏe của bạn thật tốt trước khi bọc răng sứ thẩm mỹ.
Tạo cầu răng
Trước khi bạn bọc răng sứ, bác sĩ sẽ kiểm tra răng thật cho bạn trước khi mài cùi răng để bắt đầu cho quá trình bọc răng sứ. Việc mài răng này không chỉ giúp cho mão sứ bọc lên được chắc chắn hơn mà còn có thể tránh cảm giác cộm cho bệnh nhân khi ăn nhai tốt hơn.
Lấy dấu răng
Sau khi mài cùi răng bác sĩ sẽ cho bệnh nhân lấy dấu răng để chết tạo ra mão răng sứ. Khi đã có khuôn của hàm răng các bác sĩ sẽ nhờ tới công nghệ kĩ thuật số CAD/CAM scan mọi thông tin về cấu trúc hàm răng của bạn từ màu sắc, hình dạng, tình trạng… tiếp theo sẽ được thể hiện cụ thể dựa trên hình ảnh cụ thể. Tấ cả các dữ liệu trên cũng sẽ được đưa sang kỹ thuật Labo để chế tạo răng sứ phù hợp.
Đeo răng tạm
Trong thời gian chờ đợi làm răng sứ bạn sẽ được bác sĩ cho sử dụng răng tạm. Răng tạm là răng có màu sắc giống như răng thật giúp bạn có thể ăn nhai trong quá trình đợi, thậm chí phục hồi tạm thời nét thẩm mỹ cho hàm răng của bạn. Loại răng tạm này thường hay được làm bằng nhựa cứng.
Bọc mão sứ
Khi đã hoàn thành răng sứ thì phần việc còn lại là rất đơn giản, bác sĩ chỉ cần lắp phần răng sứ lên cùi răng đã được mài sẵn. Chỉ trong vài giờ là bạn có thể ăn uống và sinh hoạt như bình thường.
Nguồn: Giúp bạn hiểu hơn về quy trình bọc răng sứ
Khám răng
Bác sĩ cần kiểm tra thật kỹ tình trạng sứ khỏe răng miệng và vùng nướu của bạn, để bảo đảm tình trạng sức khỏe của bạn thật tốt trước khi bọc răng sứ thẩm mỹ.
Tạo cầu răng
Trước khi bạn bọc răng sứ, bác sĩ sẽ kiểm tra răng thật cho bạn trước khi mài cùi răng để bắt đầu cho quá trình bọc răng sứ. Việc mài răng này không chỉ giúp cho mão sứ bọc lên được chắc chắn hơn mà còn có thể tránh cảm giác cộm cho bệnh nhân khi ăn nhai tốt hơn.
Lấy dấu răng
Sau khi mài cùi răng bác sĩ sẽ cho bệnh nhân lấy dấu răng để chết tạo ra mão răng sứ. Khi đã có khuôn của hàm răng các bác sĩ sẽ nhờ tới công nghệ kĩ thuật số CAD/CAM scan mọi thông tin về cấu trúc hàm răng của bạn từ màu sắc, hình dạng, tình trạng… tiếp theo sẽ được thể hiện cụ thể dựa trên hình ảnh cụ thể. Tấ cả các dữ liệu trên cũng sẽ được đưa sang kỹ thuật Labo để chế tạo răng sứ phù hợp.
Đeo răng tạm
Trong thời gian chờ đợi làm răng sứ bạn sẽ được bác sĩ cho sử dụng răng tạm. Răng tạm là răng có màu sắc giống như răng thật giúp bạn có thể ăn nhai trong quá trình đợi, thậm chí phục hồi tạm thời nét thẩm mỹ cho hàm răng của bạn. Loại răng tạm này thường hay được làm bằng nhựa cứng.
Bọc mão sứ
Khi đã hoàn thành răng sứ thì phần việc còn lại là rất đơn giản, bác sĩ chỉ cần lắp phần răng sứ lên cùi răng đã được mài sẵn. Chỉ trong vài giờ là bạn có thể ăn uống và sinh hoạt như bình thường.
Nguồn: Giúp bạn hiểu hơn về quy trình bọc răng sứ
![[Image: boc-rang-su.jpg]](http://4.bp.blogspot.com/-CgX_JZiQ84g/VGsT_6i8w8I/AAAAAAAAAEo/4WDU4Sq1AEw/s1600/boc-rang-su.jpg)
![[Image: boc-rang-su-1.jpg]](http://4.bp.blogspot.com/-DIZCGM-KjOE/VGsUGAmE_2I/AAAAAAAAAEw/J0jpV1va-0c/s1600/boc-rang-su-1.jpg)